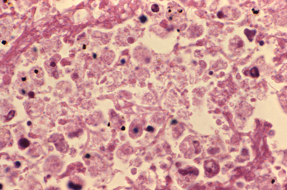
Public Domain Picture: This micrograph depicted details seen in a lung tissue specimen from a Knoxville patient with fatal pneumonia due to Legionnaires' disease.
Views: 676 | Downloads: 5
Title:
This micrograph depicted details seen in a lung tissue specimen from a Knoxville patient with fatal pneumonia due to Legionnaires' disease.
Description:
This micrograph depicted details seen in a lung tissue specimen from a Knoxville patient with fatal pneumonia due to Legionnaires' disease. The tissue was stained using hematoxylin-eosin (H&E) stain. Legionella pneumophila are Gram-negative bacteria. Using H&E stain, these organisms, if present in the specimen, would stain a pink or red color. Note how the alveolar spaces are so congested with a leukocytic infiltrate in response to the infection.How serious is it? What is the treatment?
Creator:
CDC/ William Cherry
Source:
Views:
676
Downloads:
5
Date Added:
December 1, 2012
Download: Original
Size: 1814 x 1205
File size: 6.8 MB
File type: tif
Download: Largest
Size: 1814 x 1205
File size: 976.9 KB
File type: jpg
Download: Small
Size: 958 x 636
File size: 183.7 KB
File type: jpg
Why is this picture in the Public Domain?
Produced by United States Government
The file available on this page is a work of the United States government. A work of the United States government, as defined by United States copyright law, is "a work prepared by an officer or employee of the U.S. government as part of that person's official duties." In general, under section 105 of the Copyright Act, such works are not entitled to domestic copyright protection under U.S. law.
Where is this picture from?
Public Health Image Library
Created by a Working Group at the Centers for Disease Control and Prevention (CDC), the PHIL offers an organized, universal electronic gateway to CDC's pictures.
They welcome public health professionals, the media, laboratory scientists, educators, students, and the worldwide public to use this m
View more information & files

How may I use a Public Domain picture?
The file available on this page in the Public Domain. Files in the public domain have no restrictions on use and may be used for any purpose, without any conditions, commercial or not, unless such conditions are required by law.
Possible Prohibited Uses
Although a file is in the public domain, the work may still have some restrictions for use if it contains any of the following elements:
- File contains an identifiable person and such person has not provided a model release.
- File contains an identifiable building or structure and the owner of such building has not provided a property release.
- File contains a registered corporate logo or trademark.
Files containing any of the above elements that do not also have a provided release would generally fall under editorial uses only and may not be used for commercial purposes. Users downloading files that are designated as "editorial use" assume full responsibility for their use of the file(s). Depending on your use, the use of editorial use files may require additional rights that publicdomainfiles.com or the copyright owner may or may not be able to provide. You should consult with your legal counsel to be sure your use is legal.
Download Agreement
By downloading this file, you indicate that you understand and agree to all of these terms and assume full liability for your use of the file(s) and agree to hold publicdomainfiles.com harmless should any liability arise.